Views: 0 Author: Site Editor Publish Time: 2026-01-16 Origin: Site
In the world of modern dentistry, crowns play a crucial role in restoring the functionality and aesthetics of damaged or missing teeth. When a tooth is severely decayed, damaged, or weakened, a dental crown is often the solution to restore its strength, appearance, and function. However, with advancements in dental technology, the type of crown used for restoration has evolved. Two of the most common options available today are the implant crown and the traditional crown. While both serve a similar purpose, they differ significantly in terms of their application, materials, durability, and overall process.
As a leading B2B supplier of high-quality dental restorations, we understand the importance of providing dental laboratories, manufacturers, and clinics with reliable, efficient, and innovative products. In this comprehensive guide, we will delve into the key differences between implant-supported crowns and traditional crowns, explaining their benefits, drawbacks, and which option may be the most suitable for your needs. Additionally, we’ll take a closer look at the crown implant process and how it compares to traditional crown procedures, with a focus on how our premium products can enhance your manufacturing processes.

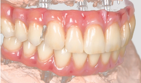
An implant crown is a dental crown that is attached to a dental implant. A dental implant is a titanium post that is surgically placed into the jawbone to act as a replacement for a natural tooth root. The implant serves as the foundation to hold the implant-supported crown in place. This process involves two main stages: first, the implant is placed into the jawbone, and after a period of healing, the crown is attached to the implant.
Unlike traditional crowns, which rely on existing teeth for support, implant crowns are supported directly by the implant, making them a stable and long-lasting solution for missing teeth. As a B2B manufacturer, we provide high-quality implant-supported crowns made from certified materials that guarantee durability, precision, and aesthetic excellence for dental laboratories, clinics, and large-scale suppliers.
Implant-supported crowns offer excellent stability and function.
They mimic the natural tooth structure and feel more like real teeth.
The crown is supported by the implant, which prevents bone loss in the jaw.
As a manufacturer catering to B2B customers, we ensure a consistent, bulk supply of implant crowns tailored to the needs of dental labs and healthcare providers.
A traditional crown, also known as a tooth crown, is a prosthetic cap placed over a natural tooth to restore its shape, size, strength, and appearance. It is typically used when a tooth is heavily decayed or damaged but still has enough structure to support the crown. Traditional crowns can be made from various materials such as porcelain, metal, or a combination of both.
The procedure for placing a traditional crown typically involves the following steps:
The dentist reshapes the existing tooth.
An impression of the tooth is taken to create a custom crown.
A temporary crown is placed while the permanent crown is made.
Once the permanent crown is ready, it is cemented onto the prepared tooth.
Traditional crowns do not require any surgery, as they fit over the existing tooth, making them a less invasive option compared to implant-supported crowns. As a B2B manufacturer, we offer a wide variety of traditional crowns, including porcelain-fused-to-metal (PFM) crowns, all-ceramic crowns, and zirconia crowns, which dental labs can easily incorporate into their workflows.
They are a faster solution for restoring damaged teeth.
Traditional crowns can be used to cover existing teeth that are weak or misshapen.
The procedure is minimally invasive, offering a quicker and more convenient treatment.
As a trusted supplier, we provide traditional crowns that meet industry standards for durability and aesthetics, suitable for bulk purchases.
When choosing between an implant crown and a traditional crown, there are several factors to consider. Below, we break down the main differences between these two popular options. As a B2B manufacturer, we provide both solutions at competitive prices and ensure that your orders are fulfilled with precision and efficiency.
The most significant difference between implant crowns and traditional crowns is the procedure involved.
Implant Crown Procedure: The process for placing an implant-supported crown requires surgery to place the implant into the jawbone. This procedure is typically done in two stages: the first involves placing the implant, and the second involves attaching the crown after the implant has integrated with the bone (a process known as osseointegration). This process can take several months to complete, as the jawbone needs time to heal and bond with the titanium implant.
Traditional Crown Procedure: The procedure for placing a traditional crown is less invasive. The dentist prepares the damaged tooth by removing decay and reshaping it to accommodate the crown. After taking impressions, a temporary crown is placed, and the final crown is placed in a few weeks. No surgery is involved in the traditional crown procedure, making it quicker and less complex. As a dental manufacturer, we provide traditional crown solutions with a focus on high quality, offering laboratories a wide range of options to suit different clinical needs.
When it comes to durability, implant crowns generally outperform traditional crowns.
Implant Crowns: Since implant crowns are anchored in the jawbone, they provide a more stable and durable restoration. The titanium implant is highly biocompatible and fuses with the bone, providing excellent support for the crown. With proper care, implant crowns can last for decades, making them a long-term solution for patients. As a B2B manufacturer, we ensure that every implant-supported crown is made with the highest quality materials, ensuring long-lasting results.
Traditional Crowns: Traditional crowns, while durable, are not as long-lasting as implant-supported crowns. They rely on the existing tooth for support, which can wear down over time, especially if the tooth underneath is compromised. Traditional crowns may need to be replaced or adjusted after 10 to 15 years. For manufacturers, we offer traditional crowns that combine durability and aesthetic appeal to suit the needs of dental professionals and labs.
Both implant crowns and traditional crowns can provide excellent aesthetics, but there are subtle differences in how they look and feel.
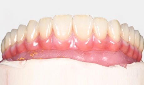
Implant Crowns: Implant-supported crowns are often considered more natural-looking since they do not rely on the adjacent teeth for support. The implant provides a stable foundation, and the crown itself is custom-made to match the natural teeth in color, shape, and size. This ensures that implant crowns blend seamlessly with the surrounding teeth, creating a more lifelike result. Our high-quality implant crowns are manufactured to match the unique needs of dental labs that require precision.
Traditional Crowns: Traditional crowns can also be made from high-quality materials such as porcelain, which provides a natural appearance. However, because they cover the existing tooth, there may be a visible difference between the crown and the adjacent teeth, particularly if the underlying tooth has a dark color. As a manufacturer, we provide traditional crowns that offer superior aesthetics, helping dental labs produce results that exceed patient expectations.
The cost of implant crowns is generally higher than that of traditional crowns due to the complexity of the procedure.
Implant Crowns: Implant-supported crowns require surgery and a longer treatment period, which contributes to their higher cost. In addition to the cost of the crown itself, there are additional expenses for the implant placement, including consultations, surgical procedures, and post-operative care. As a B2B supplier, we offer competitive pricing on implant crowns for dental labs and clinics that require bulk orders, making the process more cost-effective for larger-scale operations.
Traditional Crowns: Traditional crowns tend to be more affordable, especially since they do not require surgery. The overall cost is lower because the procedure is less invasive, and the restoration is placed over an existing tooth. We offer a wide selection of traditional crown options, ensuring dental professionals can access high-quality restorations at a cost-effective price.
Implant Crowns: Implant-supported crowns tend to feel more comfortable and natural than traditional crowns. Since the implant is integrated into the jawbone, it provides a stable foundation that allows the crown to function just like a natural tooth. There is no pressure on the surrounding teeth, and the implant prevents bone loss, which helps maintain the overall structure of the jaw. As a B2B manufacturer, we ensure that every implant crown is designed for maximum comfort and fit, offering a seamless experience for patients.
Traditional Crowns: Traditional crowns, while functional, may cause some discomfort since they rest on the existing tooth. Over time, the underlying tooth may weaken, which can affect the fit and comfort of the crown. Additionally, traditional crowns can sometimes cause irritation to the gums or surrounding tissues. As a supplier, we focus on providing traditional crowns that are comfortable and well-fitted to ensure patient satisfaction.
The crown implant process is a multi-step procedure that requires precision and care. Here’s an overview of how the process works:
The first step in the crown implant process is a consultation with your dentist or oral surgeon. During this appointment, the dentist will assess the health of your jawbone, gums, and surrounding teeth to determine if you're a good candidate for a dental implant. X-rays and scans may be taken to plan the implant placement.
In the second stage, the dental implant is surgically placed into the jawbone. The titanium implant acts as a replacement root for the missing tooth. After the implant is placed, the bone will need time to heal and fuse with the implant in a process called osseointegration. This can take several months.
Once the implant has fully integrated with the bone, the dentist will place the custom-made implant crown on top of the implant. This crown is designed to match your natural teeth in both color and shape. The dentist will ensure that the crown fits securely and comfortably before cementing it in place.
Longevity: Implant crowns can last for decades with proper care.
Bone Preservation: The implant stimulates the jawbone, preventing bone loss.
Stability: Implant-supported crowns are more stable and secure than traditional crowns.
Natural Appearance: Implant crowns look and feel like real teeth, offering a seamless restoration.
As a B2B manufacturer, we ensure that our implant crowns are produced to the highest standards, guaranteeing long-lasting durability for dental labs and clinics.
Faster Procedure: Traditional crowns can be placed in a shorter time frame.
Less Invasive: No surgery is required, making the procedure less traumatic.
Cost-Effective: Traditional crowns are generally more affordable than implant crowns.
Widely Available: Traditional crowns are a well-established treatment option that most dental practices offer.
As a trusted B2B supplier, we provide a variety of traditional crown options to suit the needs of dental professionals, ensuring accessibility and convenience.
An implant crown is supported by a titanium implant placed in the jawbone, while a traditional crown is placed over an existing tooth. Implant crowns tend to be more durable and natural-looking, while traditional crowns are less invasive and more affordable.
Implant crowns can last 20 years or more with proper care, while traditional crowns may need to be replaced after 10-15 years.
The crown implant process involves two main stages: first, the implant is placed into the jawbone, and after it has fused with the bone, the custom crown is placed on top.
Yes, implant crowns are generally more expensive due to the surgical procedure and longer treatment time involved.
The choice between implant crowns and traditional crowns depends on your specific needs. Implant crowns offer greater stability and longevity, while traditional crowns are faster and more affordable.